We cure* Brain Tumors

we treat the brain tumor using the latest technologies. Our efforts have saved many lifes and looking forward for many more

brain-cancer
Alpha therapy in low grade gliomas (WHO II), 19 years of experience! 12-years recurrence free survival in diffusive low grade astrocytoma II in young woman, no other therapies
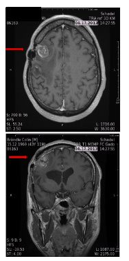
hypodense area with enhancing rim (T1)
transient perifocal edema reaction (T2)


Beginn day 9, resolved day 40 after alpha-therapy: Moderate brachiofacial hemiparesis L, completely resolved, No permanent deficit!

8 years stable course (2011-2019)
No open surgery

2 years recurrence-free survival in a now 40-year old diffusive infiltrative astrocytoma grade II patient, no functional deficit, ±“clean“ MRI
Alpha should not damage neurons, proof of concept: direct injection into motor cortex Can tumor cells infiltrating a functionally critical area of the brain be safely targeted?
Risk of damaging neurons?
Ratio astrocytes to neurons ≈ 10:1
Range: beta 1-5mm alpha: 0.08mm

Alpha particles do not destroy adjacent neurons Minimal damage possible (subclinical) Alpha particles suitable to target functional areas Caveat: repetitive injections, pre-treatment

Waterfall diagram of survival times from 20 patients treated in Warsaw with Bi-213 DOTA Substance P. Red: total survival times since diagnosis (median 23,5 months); Violet: survival times following start of alpha therapy (median 10,9 months)

Subgroup analysis for inclusion criteria: definition of target population for phase III study Best results obtained in patients if tumor diameter ≤ 5 cm and Karnofsky score ≥ 70 Total survival times in subgroup: 33,75 months Survival times after start of alpha therapy: 27,8 months
Dose Range and Tumor Cell Size 20-60 μm
About 50 cases treated with beta-emitter Y-90 at University Hospital Basel, Switzerland 1996-2010
Beta works well, but has neurological side effects (neuro-toxicity) 1 case inoperable thalamus glioblastoma (very effective)
2 index cases of long-term tumor control following local beta-irradiation, however, with late neurotoxicity after ± 10 years following beta-therapy (WHO grade IV and II cases)

Glioma WHO II-IV = 2 component disease Nodular part (surgery) diffuse tumor cell invasion into normal brain tissue (difficult to treat!) diffuse tumor cell invasion into normal brain tissue (difficult to treat!)
14 year recurrence- free survival of GBM (molecular diagnosis) following targeted beta-radiotherapy, death due to myokardial infarction 2nd example: LGG case with high dose beta-therapy
34-year old male patient (tumor 4x5cm) 16-year recurrence-free survival time following local beta-radiotherapy (4x25 mCi) Y-90 substance P in oligodendroglioma WHO II (LGG) however, beta-related side effects (=neurological deficits) vascular postactinic lesion 10 years following beta-therapy moderate hemispastic lesion on the left from 12th year on following beta therapy. Argument for the transition to alpha therapy
10 years following targeted beta-therapy Headaches, new globular lesion right frontal at anterior rim of tumor area: suspicion of upgrade lesion open resection: vascular nodular lesion compatible with post-actinic lesion, no malignant cells further follow-up showed moderately progressive hemispastic lesion on the left (hand & foot) Surival time 15 year: no tumor recurrence, no other therapy!
Disadvantage of high MeV Beta (range ± 5mm) Radiation necrosis in critical areas But: Proof of long-range diffusion of the peptidic vector (>7cm, also across midline) Conclusion: beta therapy effective, but neurological side effects as compared to alpha therapy in the brain!
Conclusion LGG and alpha vs. beta Long term control for LGG (AII and OII) with alpha & beta Recurrence-free survival: up to 19 years observed, no recurrence in primary cases so far 2 cases cross-over from beta to alpha: additional survival benefit of 6 years so far Alpha-toxicity minimal and transient (cave pretreatment?) 1.875 GBq (=50 mCi) Bi-213 SP may be sufficient: size (E/m=Gy) Good clinical condition, good tumor control

Today

treatment of GBM takes 2-3 months and is not very efficient, surgery dangerous, ong recovery period, short time of benefit recurrence usually within 6 months following treatment critical functional brain areas cannot be treated

Tomorrow

Treatment of GBM much faster Delivery of neo-adjuvant alpha dosage (>1000 Gray) to the tumor mass = the tumor is killed before resection, the surgeon only removes dead necrotic tumor material, surgery far less dangerous, alpha therapy treats tumor margins by diffusible radiopeptide vector surgery much easier Inoperable tumors within thalamus, brain stem, speech center and motor cortex treatable with alpha (stereotactic injection)! Concept is platform technology, can be expanded to other tumor types Like pancreatic carcinoma, ovary carcinoma and many others
Image

For better tommorow

Concept is platform technology, can be expanded to other tumor types Like pancreatic carcinoma, ovary carcinoma and many others

  • Treatment of GBM much faster

    Lorem ipsum dolor sit amet consectetur adipisicing elit. Maxime, delectus.

  • Safe

    Delivery of neo-adjuvant alpha dosage (>1000 Gray) to the tumor mass = the tumor is killed before resection, the surgeon only removes dead necrotic tumor material, surgery far less dangerous,

  • Easy

    alpha therapy treats tumor margins by diffusible radiopeptide vector surgery much easier

  • Easy

    Inoperable tumors within thalamus, brain stem, speech center and motor cortex treatable with alpha (stereotactic injection)!

Benfits of Alpha

Minimally invasive therapy, well tolerated, potential to cure!

  • Long term control for LGG (AII and OII) with alpha & beta
  • Recurrence-free survival: up to 19 years observed, no recurrence in primary cases so far
  • 2 cases cross-over from beta to alpha: additional survival benefit of 6 years so far
  • Alpha-toxicity minimal and transient (cave pretreatment?)
  • 1.875 GBq (=50 mCi) Bi-213 SP may be sufficient: size (E/m=Gy)
  • Good clinical condition, good tumor control
Image
Image

Advantages of Alpha

Medicine Care

First alpha case in LGG

Long interval

19 years observation interval

No toxicity

No late toxicity so far!

Lorem, ipsum.

No secondary dementia!

Meet Our Team

Image
Lee S. Williamson
Cardiology
Image
Greg S. Grinstead
Neurology
Image
Roger K. Jackson
Orthopedics