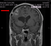
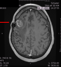
we treat the brain tumor using the latest technologies. Our efforts have saved many lifes and looking forward for many more
Reach Us
Alpha therapy is clearly more effective to standard therapy with or without Avastin (todays protocol)
| RX-TMZ-placebo* | RX-TMZ-avastin* | |||
|---|---|---|---|---|
| > 24 m (2 years) | 9/20 (45%) | 4/10 (40%) | 118/463 (26%) | 139/458 (30%) |
| > 30 m (2 1/2 years) | 6/20 (30%) | 4/10 (40%) | 53/463 (11%) | 61/458 (13%) |
| > 36 m (3 years) | 4/20 (20%) | 2/10 (20%) | 15/463 (3%) | 11/458 (2%) |
| > 42 m (3 1/2 years) | 3/20 (15%) | 2/10 (20%) | None | 1/458 (0.2%) |
| > 48 m (4 years) | None | 1/10 (10%) | None | None |
25 Years Of Experience in Medical Services
Sed ut perspiciatis unde omnis iste natus error voluptatem accusantium doloremque laudantium totam rem aperieaque ipsa quae ab illo inventore veritatis et quasi architecto beatae vitae dicta sunt explicabo. Nemo enim ipsam voluptatemsy quia voluptas sit aspernatur aut odit aut fugit quia conquntur magni dolores eos qui ratione voluptatem
Learn More
Sed ut perspiciatis unde omnis iste natus error voluptatem accusantium doloremque laudantium totam rem aperieaqueys epsa quae abillo inventore veritatis et quase